Operative Zahnentfernung (Osteotomie - OST)
Verlagerte / retinierte / impaktierte Zähne
Der Durchbruch eines Zahnes in die Mundhöhle kann durch verschiedene, teilweise unbekannte Faktoren gestört, verzögert oder verhindert werden. Wenn Zähne im Knochen stecken bleiben, bezeichnen wir sie als retiniert oder impaktiert, wenn sie schief oder quer liegen, als verlagert. Meist sind sie verlagert und retiniert.
Prinzipiell kann jeder Zahn des menschlichen Gebisses von Durchbruchstörungen (Dentitio difficilis) betroffen sein, besonders oft jedoch sind es die Weisheitszähne und an zweiter Stelle die Eckzähne.
Weisheitszähne
Zu den häufigsten zahnärztlich-chirurgischen Eingriffen gehört die Entfernung verlagerter Weisheitszähne. Da diese Zähne als letzte durchbrechen finden sie meistens nicht genügend Platz im Kiefer, bleiben auf halbem Weg stecken (siehe Bild) und verursachen eine Reihe von ernsten Problemen, die oft mit starken Schmerzen verbunden sind. Auch hier ist wieder Vorbeugung das Mittel der Wahl. Wenn aufgrund des Röntgenbefundes Weisheitszahnprobleme zu erwarten sind, werden wir die prophylaktische Entfernung immer empfehlen noch lange bevor die ersten Beschwerden auftreten. Eine Kieferoperation verläuft meist wesentlich besser, wenn das Operationsgebiet noch nicht entzündet ist. Normalerweise entfernen wir in einer Sitzung die beiden Weisheitszähne auf einer Seite. In der Regel dauert eine Weisheitszahnoperation nicht länger als 20 Minuten. Auf Wunsch können wir auch alle 4 Weisheitszähne auf einmal entfernen.
Operative Weisheitszahnentfernung
Warum die meisten Weisheitszähne entfernt werden müssen
Weisheitszähne entstehen genauso wie andere Zähne und sind in keiner Weise schlechter als diese. Das einzige, was sie von "normalen" Zähnen unterscheidet, ist ihre Stellung im Kiefer und der Zeitpunkt ihres Durchbruches. Der Weisheitszahn kommt meist als Nachzügler zwischen dem 17. und dem 25. Lebensjahr und findet im voll besetzten Kiefer keinen Platz mehr. Aus diesem Grund kann er nicht richtig in die Mundhöhle hineinwachsen und sich in die Zahnreihe einordnen, sondern bleibt vollständig oder teilweise im Kiefer stecken und entzieht sich so meist erfolgreich allen mundhygienischen Bemühungen. Solche Zähne nennen wir verlagert oder retiniert.
In dieser Position führen Weisheitszähne fast immer zu einer chronischen Entzündung im Kiefer. Dieses erfolgt häufig zunächst unbemerkt, kann jedoch jederzeit akut werden, d.h. es können Schmerzen, Schwellungen, Schluckbeschwerden und eine Einschränkung der Mundöffnung auftreten. Auch wenn verlagerte Zähne dem Patienten keinerlei Beschwerden bereiten, können sie unbemerkt Zysten bilden (Hohlräume im Kieferknochen, meist mit infiziertem Material gefüllt), die den Kieferknochen - eventuell bis hin zum Kieferbruch - zerstören. Wenn eine solche Entwicklung wahrscheinlich oder zu erwarten ist, und das ist fast immer der Fall, ist ein "Wir warten mal, ob die Weisheitszähne Probleme machen" nicht sinnvoll.
Zerstörung von Nachbarzähnen durch Karies
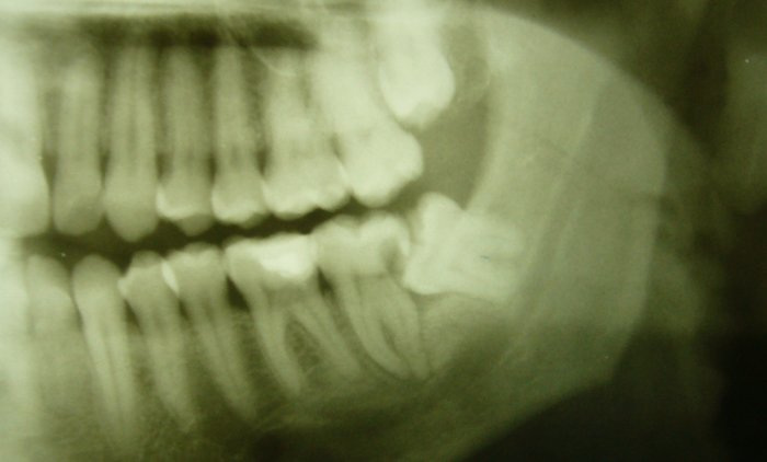
Im Kiefer auf halbem Weg hängengebliebene Weisheitszähne können zusammen mit dem jeweiligen Nachbarzahn hygienisch derart ungünstige Schlupfwinkel für Speisereste und Zahnbeläge bilden, dass beide Zähne in kürzester Zeit kariös werden.
Im nebenstehenden Bild können Sie sehr eindrucksvoll sehen, wie sich an dem vor dem unteren Weisheitszahn gelegenen Zahn 37 ein enorm großer kariöser Defekt (Schatten) entwickelt hat, der bis zum Nerv reicht und bereits ein solches Ausmaß erreicht hat, dass der Zahnarzt ihn weder füllen noch überkronen kann. Dieser Zahn und natürlich auch der Weisheitszahn müssen entfernt werden. Der Patient hatte übrigens bis vor Kurzem keinerlei Beschwerden, und keiner seiner ehemaligen Zahnärzte hatte ihm empfohlen, die Weisheitszähne entfernen zu lassen.
An diesem Beispiel kann man sehen, dass die vielfach von Patienten aber auch von Kollegen vertretene Ansicht, ein Weisheitszahn könne drin bleiben, solange er keinen Ärger macht, falsch ist. Wenn Weisheitszähne so liegen, dass Probleme zu erwarten sind - und das ist fast immer der Fall, müssen sie raus, bevor die Probleme entstehen!
Diese Probleme können nicht nur durch Weisheitszähne sondern auch durch jeden anderen Zahn hervorgerufen werden, der nicht ordentlich durchbricht.
Der verlagerte Eckzahn
Nicht ganz so oft wie die verlagerten, retinierten Weisheitszähne finden wir verlagerte obere Eckzähne. Die Gefahr von Entzündungen ist hier zwar nicht so groß, dafür werden diese Zähne sowohl für die Funktion als auch für die Ästhetik dringend gebraucht. Unsere Aufgabe als Zahnärzte ist dabei die chirurgische Freilegung der Eckzähne, durch die es dem Kieferorthopäden ermöglicht wird z.B. Brackets anzukleben und so eine Einordnung der Zähne in die Zahnreihe zu erreichen. Wenn die kieferorthopädische Einordnung nicht möglich ist entfernen wir die Zähne durch Osteotomie.
Welches sind die Risiken des Eingriffes?
Die operative Zahnentfernung oder Osteotomie wird in örtlicher Betäubung durchgeführt. Dies beinhaltet auch Risiken hinsichtlich einer Unverträglichkeit des Anästhetikums, Blutungen im Injektionsbereich und der Schädigung von Nerven. Wenn Sie uns bisher noch keine Vorerkrankungen mitgeteilt haben, oder wenn Ihnen dazu noch etwas unklar ist, so informieren Sie uns bitte noch mindestens 24 Stunden vor dem Eingriff darüber. Berichten Sie bitte über alle eventuellen Erkrankungen und nennen Sie uns die Medikamente, die Sie einnehmen. Nur so können wir unnötige Risiken für Sie vermeiden.
- Bei einer Weisheitszahnoperation im Unterkiefer kann es bei bestimmten Voraussetzungen zu einer Beeinträchtigung oder zum Verlust des Gefühls in der Lippe oder der Zunge und manchmal auch der Geschmacksempfindung kommen. Dies kann dauerhaft sein, ist jedoch meist vorübergehend.
- Im Oberkiefer kann bei einer Osteotomie verlagerter Weisheitszähne oder Eckzähne die Kieferhöhle bzw. Nasenhöhle eröffnet werden. Dies wird sofort oder später durch einen besonders dichten Wundverschluss, eine so genannte Plastische Deckung, behoben. Die Eröffnung der Kieferhöhle kann zu einer Nebenhöhlenentzündung mit Beschwerden in diesem Bereich führen. Wenn die Kieferhöhle eröffnet wurde, verringern wir das Infektionsrisiko durch ein geeignetes Antibiotikum.
Wundheilungsstörungen, Schmerzen oder Nachblutungen können bei jedem chirurgischen Eingriff auftreten. Darüber hinaus noch seltener vorkommende Komplikationen werden Ihnen auf Wunsch genannt. Erfolgsgarantie und Risikofreiheit sind bei keinem Heileingriff möglich.
Nach einer operativen Zahnentfernung ist die Verkehrstüchtigkeit eingeschränkt. Eine Begleitperson ist daher zu dringend zu empfehlen. Fahren Sie nicht selbst. Lassen Sie sich fahren! In den ersten Tagen nach der Operation kommt es im Bereich des Operationsgebietes zu einer unterschiedlich starken Schwellung.
Wenn Sie beabsichtigen, in unserer Praxis chirurgische Eingriffe durchführen zu lassen, brauchen wir mindestens 24 Stunden vorher Ihre Einverständniserklärung. Falls Sie bisher noch keine Gelegenheit hatten, uns Ihr Einverständnis zu geben, melden Sie sich bei uns, damit wir noch eventuell offene Fragen mit Ihnen klären können.
[1] © Albert - Lizenz: GNU | CC
aktualisiert vor 2161 Tagen, am 16.05.2020 - 19:01. √

